Nervous Tissue



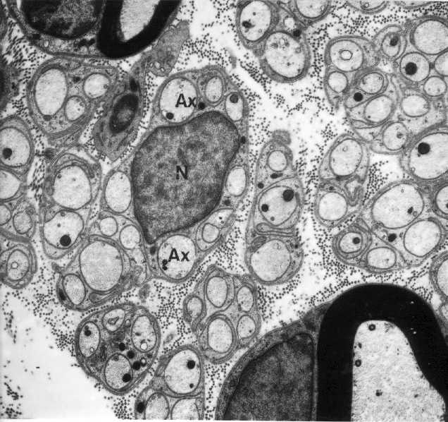
Unmyelinated and myelinated axons. The nucleus of Schawnn's cell appears to enclose several axons(Ax).