Nervous Tissue



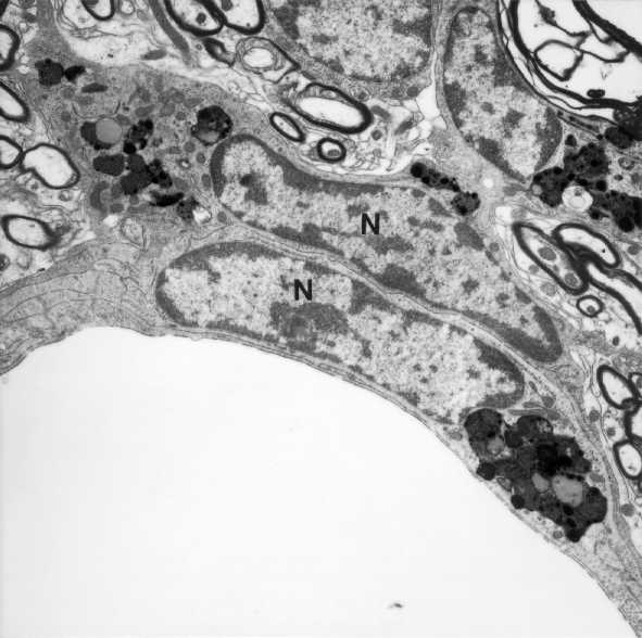
Elongated microglial cells. The flattened nucleus(N) shows dense chromatin masses. The cytoplasm contains lipofuschin granules.