Nervous Tissue



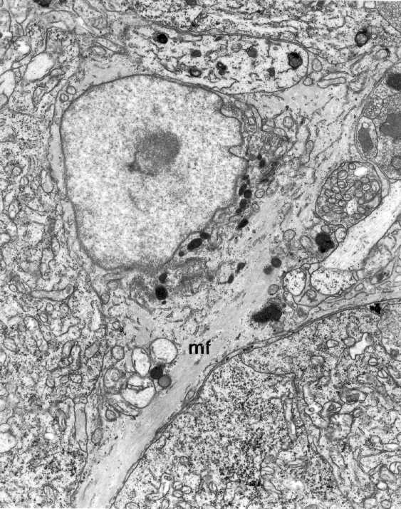
An astrocyte. Identify the bundles of microfilaments(mf) in its cytoplasm.