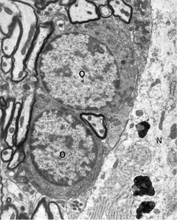
Nervous tissue

Two oligodendrocytes(o) of the dark type in close apposition to the cell
body of a neuron(N). The nucleus conntains clumps of chromatin materials
Can you recognize any axon terminals forming synaptic contacts with the
neuron? Profiles of myelinated axons are seen on the left of the figure.