Nervous Tissue

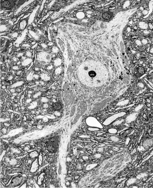
A neuron in the anterior(ventral) horn of spinal cord. The round pale
nucleus contains a prominent nucleolus. Its cytoplasm is filled with
abundant organelles. (Identification of the organelles is difficult as
the magnification is too low). Three pale dendrites project from the
cell body(soma). At least five oligodendrocytes are closely associated
with the neuron. In the neuropil, can you differentiate the myelinated
axons from the pale dendrites in different planes of section?