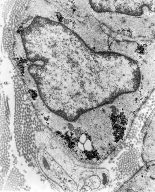
Muscle



Transverse section of a smooth muscle fibre. Its nucleus is centrally located. In the sarcoplasm are myofilaments and masses of glycogen particles. Numerous caveolae are clearly seen at the membrane.