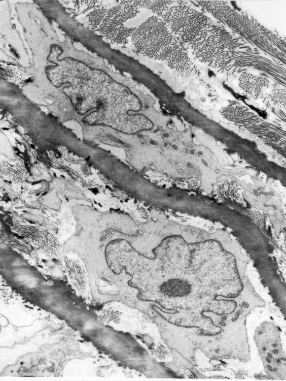
Muscle



Smooth muscle cells between the elastic laminae(darkly stained) in an elastic artery(aorta).