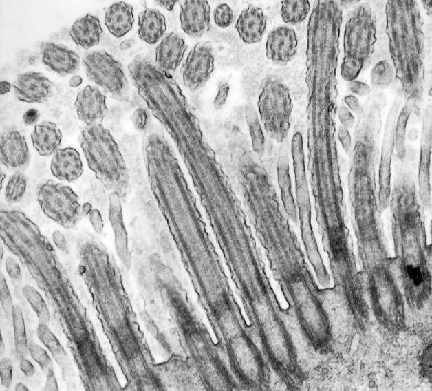
Epithelial



Showing cilia lining the mucosa of trachea seen under TEM. Identify the axonemes(microtubules) and basal bodies of the cilia. Identify also the microvilli present between the cilia.