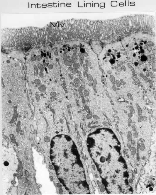
Epithelial



Simple columnar epithelium lining the mucosa of small intestine. Identify the nuclei of the lining cells. Note the microvilli(Mv) refered to as brush border in light microscopy.