Epithelial


Goblet cell


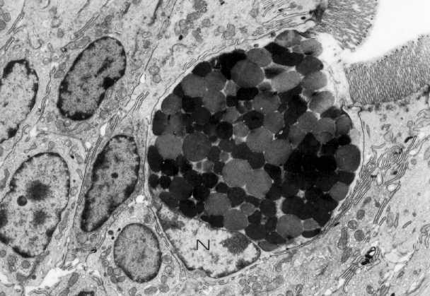
A goblet cell when with its nucleus(N) at base. The cell is packed with numerous mucous globules.