CONNECTIVE TISSUE



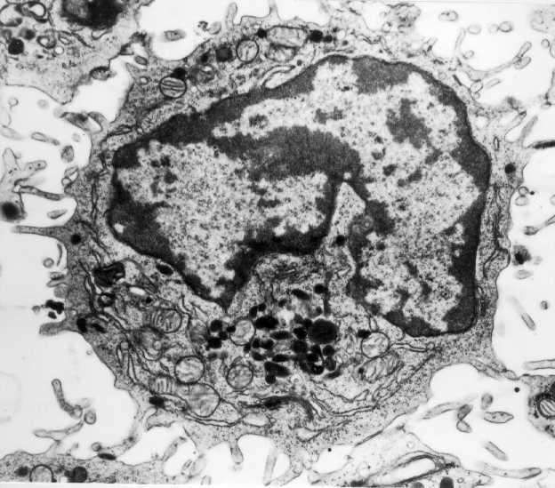
A monocyte - a precursor cell of macrophage. The cell contains a variable number of lysosomes in its cytoplasm.