CONNECTIVE TISSUE


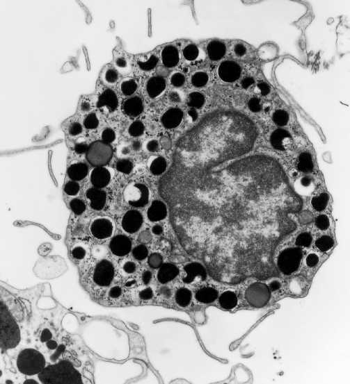
Mast cell


Mast cell. The cytoplasm is loaded with numerous membrane bound dense granules. At the surface, a few filopodial processes are present. Name two chemical substances produced by mast cells.