Connective Tissue

Thick skin


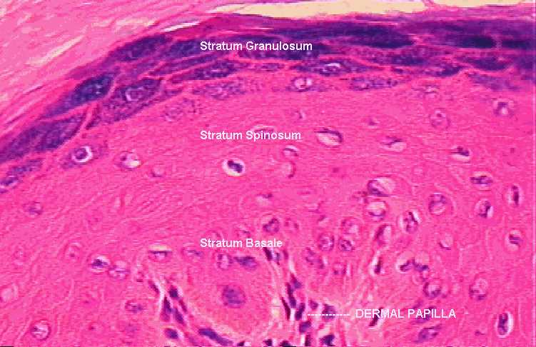
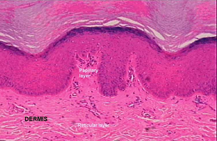
Under X10, locate the papillary layer of the dermis in your slide.(This layer lies immediately beneath the epidermis). Select a good area of this layer and move your objective to high-dry(X40). Identify the purplish-stained nuclei of fibrocytes. Running between the fibrocytes are bundles of collagen fibres(pink fibres) which are more prominent as you move your field down into the reticular layer. Within the papillary layer(which is composed of loose connective tissue) you may also find capillaries cut in different planes. Try to identify at least one of them. Other cell types in the connective tissue are hard to differentiate. Examine the reticular layer of the dermis. It is composed of dense irregular connective tissue. Return your objective to X10 and move your field down to the subcutaneous layer containing a variable amount of fat(adipose) tissue and sweat glands. The adipocytes(fat cells) appear empty-looking as their contents had been washed out during slide preparation. Under X40, note that the nuclei of the cells are pushed to the periphery of the cells. Other structures in the dermis include the sweat glands and Pacinian corpuscles.