
USC Banco de Imagenes Médicas

Renal Images
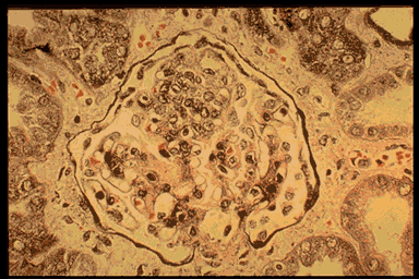
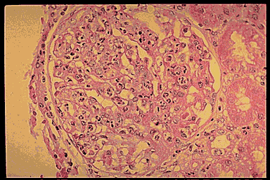
Renal 1. Glomerulus in membranoproliferative (mesangiocapillary)
glomerulonephritis, Type1. Note the enhanced lobularity of the glomeruli due to proliferated
mesangial and endocapillary cells and the thickening of glormerular capillary walls.
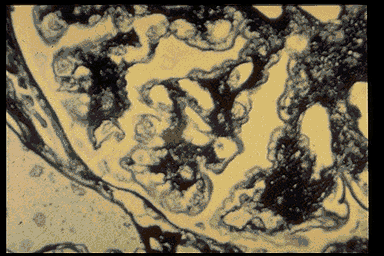
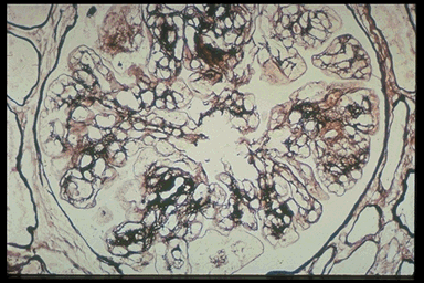
Renal 2. Silver stain of glomerulus inmembranoproliferative (mesangiocapillary) glomerulonephritis, Type 1. . This stain outlines basement membranes. Instead of the normal single basement membrane, several capillary loops show double or parallel lines "railroad or tram tracks", a typical finding in this disease.
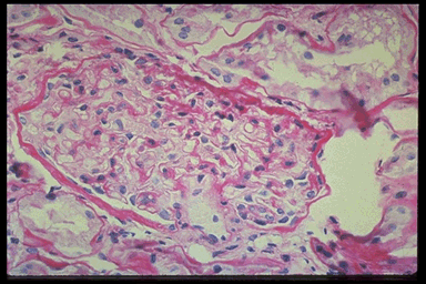
Renal 3. Glomerulus infocal glomerulosclerosis. Note the exquisitely segmental area of capillary loop collapse with adhesion (synechiae) to Bowman's capsule.
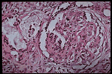
Renal 4. IgA nephropathy. The glomerulus shows mesangial hypercellularity and increased matrix, that is mesangioproliferative glomerulonephritis.
Renal 5. IgA nephropathy may show a range of glomerular disease, from apparently normal glomeruli by light microscopy (minimal changes) through focal glomerulonephritis, as in the view shown here, to diffuse glomerulonephritis.
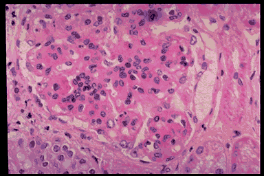
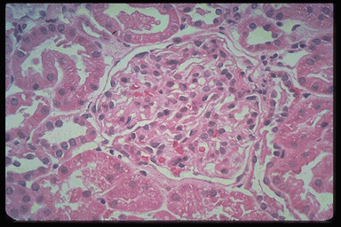
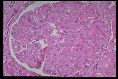
Renal 6. Post-infectious glomerulonephritis. The capillary lumens are filled with cells (proliferative glomerulonephritis), most particularly neutrophils.
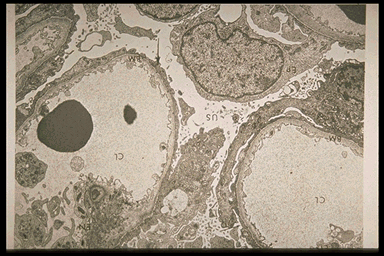
Renal 7. Post-infectious glomerulonephritis, electron micrograph . Note the typical sub epithelial electron-dense deposits (humps).
Renal 8. Focal glomerulonephritis in SLE (lupus nephritis) . Note the segmental area within the glomerular tuft of proliferated cells.
Renal 9. Diffuse crescentic (extracapillary proliferative) glomerulonephritis in Goodpasture's (anti-GBM) disease. Two glomeruli are present, one of which shows a large crescent within Bowman's space.
Renal 10. Immunofluorescence microscopy using anti-human IgG in the case of Goodpasture's disease shown in preceding figure. . Note the smooth linear pattern of staining of the glomerular basement membranes typical of anti-GBM disease.
Renal 11. Urine showing dysmorphic red blood cells. On the left are normal red blood cells with the characteristic round appearance and no nucleus. On the right are dysmorphic red blood cells with varying shapes.
Renal 12. Free red blood cells and red blood cell cast in urine. Note the typical concave appearance of the red blood cells.
Renal 13. White blood cell cast in ruin. Note the granular appearance of the cytoplasm of the neutrophils composing the cast.
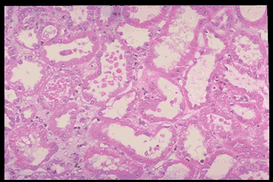
Renal 14. Acute tubular necrosis, regenerative phase. Dilated proximal tubules are present lined by flattened regenerating cell. Eosinophilic cell debris (from necrotic cells) is present within the lumens of some tubules.
Renal 15. Urinary eosinophilia. Note the bilobed eosinophils with slightly orange, granular cytoplasm.
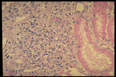
Renal 16. Acute tubulo-interstitial nephritis. Numerous lymphocytes and some plasma cell and macrophages are present in the interstitium.
Renal 17. Minimal (nil) change disease. By definition, the glomerulus is normal at the light microscopic level.
Renal 18. Electron microscopy of minimal (nil change disease. The only abnormality is obliteration of the epithelial foot processes.
Renal 19. Membranous nephropathy. In advanced membranous nephropathy, silver staining reveals a thickened glomerular basement membrane wit lucent areas.
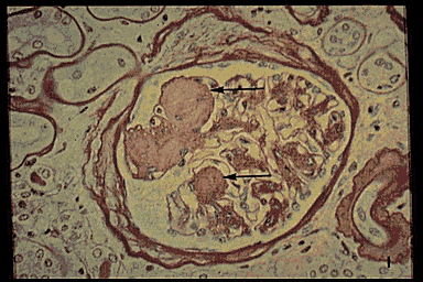
Renal 20. Nodular glomerulosclerosis in diabetic nephropathy. The arrows point towards Kimmelstiel-Wilson nodules, a typical finding.
Renal 21. Amyloidosis. Light microscopic view of amyloid within glomeruli. The vessel alongside the glomerulus also has amyloid material in its wall. Congo red stain.
Renal 22. Light microscopic appearance of Alport's syndrome showing glomerulosclerosis and tubular atrophy and dilation. In early lesions, the glomeruli may appear normal by light microscopy.
Renal 23. Alport's syndrome. Electron micrograph showing the typical glomerular basement membrane changes, consisting of thickening and thinning and laminations of the lamina densa.
Renal 24. Gross appearance of external and cut surfaces of polycysitc kidney, showing numerous cysts of varying size occupying the parenchyma.
Renal 25. Gross appearance of polycystic kidney at higher magnification. Note the numerous thin-walled cysts.
Renal 26. Medullary sponge kidney. The medulla contains numerous dilated collecting ducts.
Renal 27. Medullary cystic disease. Numbers of 1-6 mm, thin-walled cysts are present in the renal medulla.
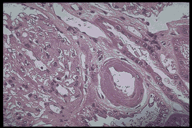
Renal 28. Malignant nephrosclerosis (malignant hypertension)(trichrome stain). Fibrin (red material) is present in the wall of the artery. Collagen stains blue i this stain.
Renal 29. Benign nephrosclerosis (benign hypertension) . Subendothelial hyaline changes in benign nephrosclerosis. The small arteriole shows hyaline arteriolosclerosis, that is waxy, homogeneous eosinophilic material in the vessel wall.
Renal 30. Benign nephrosclerosis (benign hypertension) . Justaglomerular arteriole showing sever hyaline thickening of the wall.
Renal 31-39.No hay descripcion.
Renal 31.ND
Renal 32.ND
Renal 33.ND
Renal 34.ND
Renal 35.ND
Renal 36.ND
Renal 37.ND
Renal 38.ND
Renal 39.ND
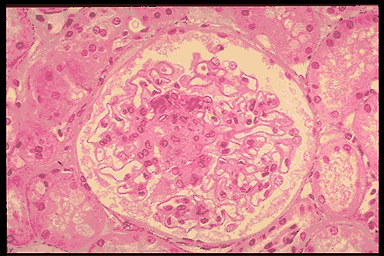
Renal 40. Membranous glomerulonephritis. The glomerulus shows normal cellularity, but there is global thickening of the glomerular capillary walls.
Renal 41. Membranous glomerulonephritis. This silver stain shows the presence of minute "spikes" protruding from the glomerular basement membrane. The result is an appearance resembling tiny "hairs" protruding from the basement membranes. Spikes are a typical feature of this disease.
Renal 42. Membranous glomerulonephritis. Two glomeruli stained with fluoresceinated anti-human IgG. Note the finely granular pattern of staining outlining the glomerular capillary loops. Granular staining of this type is characteristic of immune-complex disease.
Renal 43. Membranous glomerulonephritis. Electron micrograph shows the subepithelial electron dense deposits along the glomerular basement membrane, typical of this disease. There is extensive obliteration of the epithelial foot processes, a common finding in nephrotic syndrome.
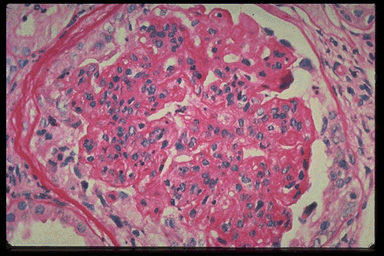
Renal 44. Immune complex glomerulonephritis. The glomerulus is very hypercellular. A sure sign of this is the loss of visible capillary lumens, produced by swelling and proliferation of endothelial cells. The basement membranes are of normal thickness. There are PMNs in the glomerulus (exudative change).
Renal 45. Immune complex glomerulonephritis. The pattern is coarsely granular (similar staining would be seen for C3). This "lumpy-bumpy" pattern is typical of immune complex glomerulonephritis.
Renal 46. Immune complex glomerulonephritis. Deposits are present in the form of subepithelial "humps". The general course of the disease is one of resolution of symptoms, hematuria and low complement within a period of weeks.
Renal 47. Proliferative glomerulonephritis in SLE. There is both an increase in cells within the glomerular tuft and a crescent, or prolifeartion of cells within Bowmans' space.
Renal 48. Proliferative glomerulonephritis in SLE. In this view, a "wire-loop" lesion is seen, that is, the glomerular capillary wall shows marked thickening in areas. This is produced by massive subendothelial deposits of immune complexes.
Renal 49. Proliferative glomerulonephritis in SLE. Glomerulus stained with fluoresceinated anti-human IgG. The pattern of staiing is granular, suggesting immune complex deposition. The abundance of deposits produces a confluent pattern in areas, mimicking a linear pattern.
Renal 50. Proliferative glomerulonephritis in SLE. Electron micrograph shows a large subendothelial electron dense deposit. Deposits in this location are typical of proliferative glomerulonephritis in SLE.
Renal 51. Goodpasture's disease (Anti-GBM disease). The micrograph shows a crescent of spindled cells and red blood cells filling a portion of Bowman's space. Crescents are a sign of severe glomerular damage, due to breaks in the glomerular basement membrane with release of fibrin, red blood cells and macrophages from the blood into the space. They can be seen in many forms of glomerulonephritis, but they are especially common in anti-GBM disease.
Renal 52. Goodpasture's disease (Anti-GBM disease). The glomerulus is stained with fluoresceinated anti-human IgG. Note the smooth linear pattern of staining along the glomerular capillary loops, a feature in keeping with anti-GBM disease.
Renal 53. Goodpasture's disease (Anti-GBM disease). The glomerulus is stained with fluoresceinated anti-human fibrinogen. There is marked staining within Bowman's space, a typical finding in crescentic glomerulonephritis. Fibrin enters the Bowman's space through physical ruptures in the glomerular basement membrane.
Renal 54. Membranoproliferative glomerulionephritis, type 1. A representative H&E stain of a glomerulus. Note the increased number of cells, imparting an increased lobularity to the glomerular tuft ("proliferative") and the thickening of the glomerular basement membranes ("membrano"). Another term for this disease is mesangiocapillary glomerulonephritis, emphasizing that the proliferating cells are mesangial cells which extend into the capillary walls.
Renal 55. Membranoproliferative glomerulionephritis, type 1. Silver stain show numerous double contours or "railroad tracks" along the glomerular capillary walls. This results from the laying down of a new basement membrane-like material internal to the original basement membrane.
Renal 56. Membranoproliferative glomerulionephritis, type 1. Glomerulus stained with fluoresceinated anti-human IgG. There is intense, confluently granular staining along the glomerular capillary walls and to a lesser extent, within the mesangial regions. The type 1 disease often shows both immunoglobulins and complement, including early complement componenets, suggesting a classsical pathway of complement activation.
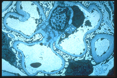
Renal 57. Membranoproliferative glomerulionephritis, type 1. Electron micrographs showsextension of mesangial cells internal to the original glomerular basement membrane (best seen in the upper part of the glomerular capillary loop). A new basement membrane is present internal to the mesangial cells ("tram track" or "railroad track"). There are also mesangial electron dense deposits.