
USC Banco de Imagenes Médicas

Contractile Tissue
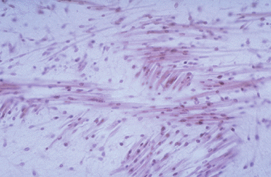
Micro 92. Developing jaw region (H & E). Micro shows the initial development of myotubes in the head region of a developing fetus. The multinucleated myotubes are pinkish in staining appearance and separated by relatively lightly stained regions sparsely populated by mononuclear mesenchymal cells.
Micro 93. Tracings of the T-tubule system of an individual skeletal muscle cell cut in cross section and viewed with an electron microscope (Peachey and Eisenberg, Biophys J. [1978] 22:149). The interconnecting black lines of the T-tubules surround clear areas in the diagram.
Micro 94. Low magnification TEM of sarcomeres. The light regions of a myofibril, the I-bands, are bisected by the Z-line (Z-disc). A sarcomere stretches from one Z-line to the adjacent Z-line and contains the A-band and the 1/2 I-bands on each side of the A-band.
Micro 95. High magnification TEMs of sarcomeres. The light regions of a myofibril, the I-bands, are bisected by the Z-line (Z-disc). A sarcomere stretches from one Z-line to the adjacent Z-line and contains the A-band and the 1/2 I-bands on each side of the A-band.
Micro 96. Schematic representation of the components in and associated with several mammalian skeletal myofibrils (Kelly et al., Bailey's Textbook of Microscopic Anatomy, 1984). Note the continuity of T-tubules with the surface membrane of the myofiber.
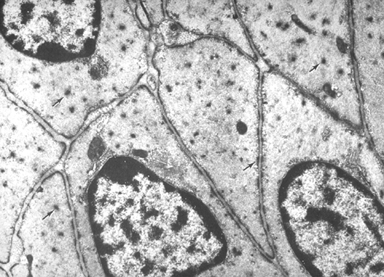
Micro 97. TEM of smooth muscle cells (Fawcett, Bloom and Fawcett: A Textbook of Histology, 1986). In this micrograph the arrows indicate dense bands associated with the cytoplasmic side of the cell membrane and dense bodies within the cytoplasm.
Micro 98. TEM of cardiac muscle. This micrograph shows some of the ultrastructural features of an intercalated disc. The intercalated disc region also contains gap junctions (seen adjacent to each desmosome) for electrical coupling of cells.
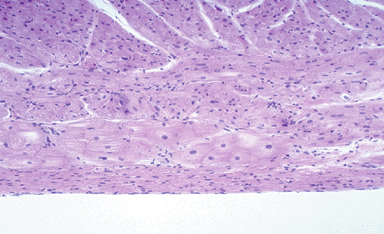
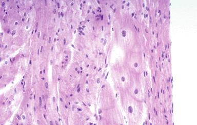
Micro 99. LM of Purkinje fibers. Purkinje fibers are specialized cardiac muscle cells that are larger in diameter and more pale in their staining than ordinary cardiac muscle cells.
Micro 100. LM of Purkinje fibers. Purkinje fibers are specialized cardiac muscle cells that are larger in diameter and more pale in their staining than ordinary cardiac muscle cells.