
USC Banco de Imagenes Médicas

Micro 29. Diagram of general characteristics of epithelia (Ross and Romrell, Histology, 1989). Epithelia are continuous sheets of cells that line cavities or spaces, and form ducts or clusters of cells that form the secretory portions of most glands.
Micro 30. Diagram and TEM of intercellular junctions (Cormack, Introduction to Histology, 1984). Note the characteristic positions of the three principle types of junctions present in epithelial cells.
Micro 31. Diagram of epithelial classification (Ross and Romrell, Histology, 1989).
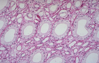
Micro 32. LM of simple cuboidal epithelium (kidney). Many of the tubules in the kidney are lined by simple cuboidal epithelium. Note especially the five large tubules in the center of this field. Cuboidal epithelium can be identified in some of the smaller tubules as well.
Micro 33. LM of simple cuboidal epithelium (kidney). This is a thinner, better preserved specimen than in Micro 32. Basal specializations, infoldings of the cell membrane and mitochondria, can be detected in some of the epithelial cells in this field.
Micro 34. TEM of simple cuboidal epithelium (kidney) (Ross and Romrell, Histology, 1989). Basal specializations can be seen in this electron micrograph (compare with Micro 33). Bl = basal lamina; G = Golgi; Ip = interdigitating processes; M = mitochondria; Mv = microvilli.
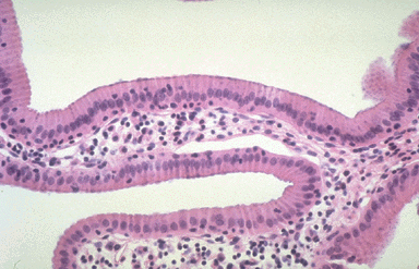
Micro 35. LM of simple columnar epithelium (gallbladder). Note the distinct columnar shape of the cells in this epithelium and the relatively uniform location of the nuclei.
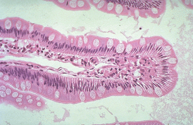
Micro 36. LM of simple columnar epithelium with goblet cells (jejunum). Note that this columnar epithelium (unlike that of the gallbladder) contains mucus-secreting goblet cells (see Micro 37) in addition to absorptive cells that possess numerous apical microvilli (see Micros 38-40). The microvillous border is often termed a striated or brush border.
Micro 37. Diagram of goblet cell (Ross and Romrell, Histology, 1989). The apical cytoplasm of goblet cells is packed with secretory vesicles containing mucins, strongly hydrophilic glycoproteins that, following secretion, become hydrated and form mucus.
Micro 38. Diagram of absorptive cells (Ross and Romrell, Histology, 1989). Absorptive cells of the gastrointestinal tract are characterized by their microvillous (striated) apical border. The cell on the right is active in fat absorption. Note the polarity of the cells.
Micro 39. TEM of simple columnar epithelium (sm. intestine) (Ross and Romrell, Histology, 1989). In this example there are prominent intercellular spaces (*) deep to the region of the junctional complexes (curved arrows). The two round cells at the base of the epithelium (arrows) are lymphocytes (Lym) that migrated from the underlying connective tissue.
Micro 40. TEM of microvilli (Ross and Romrell, Histology, 1989). Each microvillus contains a core of actin-containing microfilaments that are anchored to the plasma membrane (arrows) at the tip and extend the length of the villus to the terminal web of actin filaments in the apical cytoplasm.
Micro 41. LM of simple columnar epithelium (colon). This example of simple columnar epithelium consists almost completely of secretory cells. In this well preserved preparation the apical cytoplasm is stained red due to the high carbohydrate content of the mucins in the secretory granules.
Micro 42. Diagram of simple squamous epithelium (Ross and Romrell, Histology, 1989). Extremely thin, flattened cells make up simple squamous epithelia.
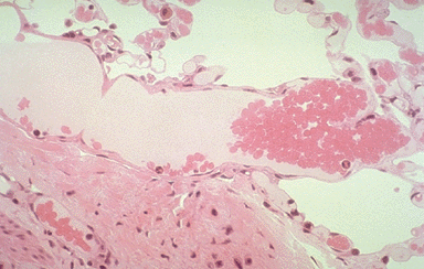
Micro 43. LM of simple squamous epithelium (lung). Nuclei of simple squamous epithelial cells lining the surfaces of lung alveoli and endothelial cells lining blood vessels can be identified in this Micro. Note especially the area just above the large blood vessel in the center of the field.
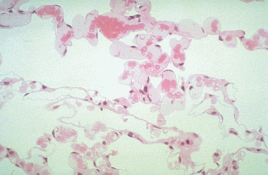
Micro 44. LM of simple squamous epithelium (lung). Numerous examples of simple squamous epithelial cells can be found in this field.
Micro 45. TEM of simple squamous epithelium (lung) (Ross and Romrell, Histology, 1989).
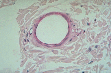
Micro 46. LM of simple squamous epithelium (endothelium). Identify the endothelial cells lining the large blood vessel and surrounding capillaries.
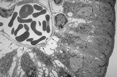
Micro 47. TEM of simple squamous epithelium (endothelium) (Erlandsen and Magney, Human Histology: A Microfiche Atlas). The capillary lumen (cl) is surrounded by a simple squamous cell (E) and its basal lamina. P & S = pericyte and its processes.
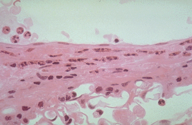
Micro 48. LM of simple squamous epithelium (lung). Note the simple squamous mesothelium covering the outer surface of the lung. The blood cells on top of this epithelium are the result of damage to vessels during tissue dissection.
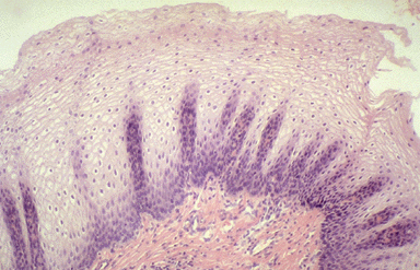
Micro 49. LM of stratified squamous epithelium, nonkeratinized(esophagus). This type of epithelium typically lines wet cavities opening onto the body surface (e.g., mouth, esophagus, anal canal, vagina.
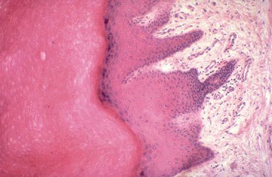
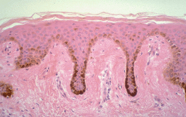
Micro 50. LM of stratified squamous epithelium, keratinized (skin). This type of epithelium is primarily found in skin, forming dry surfaces that resist ehydration.
Micro 51. LM of stratified squamous epithelium, keratinized (skin). Although the full thickness of the epithelium is not shown, note that this epithelium has much more keratin than that shown in the previous Micro.
Micro 52. LM of stratified squamous epithelium, keratinized (skin). Note the difference in the amount of space between the epithelial cells versus the space between the connective tissue cells.
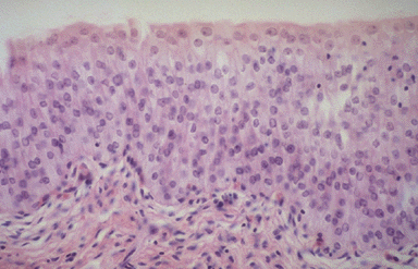
Micro 53. LM of transitional epithelium (urinary bladder). The epithelium extends approximately _ of the way down the field. The connective tissue is quite cellular.
Micro 54. NO HAY LM of transitional epithelium (urinary bladder). Note the cuboidal or dome-shape of the apical cells in this non-distended bladder specimen.
Micro 55. LM of transitional epithelium (renal pelvis).
Micro 56. NO HAY LM of pseudostratified ciliated epithelium (trachea). Note the prominent basement membrane.
Micro 57. TEM of cilium (trachea) . (Kelly et al., Bailey's Textbook of Microscopic Anatomy, 1984). Note the basal bodies (B) and their continuity with the microtubules that comprise the ciliary core. Note the organization of the doublet microtubules evident in the cross sections (upper right). Ij = intermediate junction; Oj = occluding (tight) junction; M = microvilli.