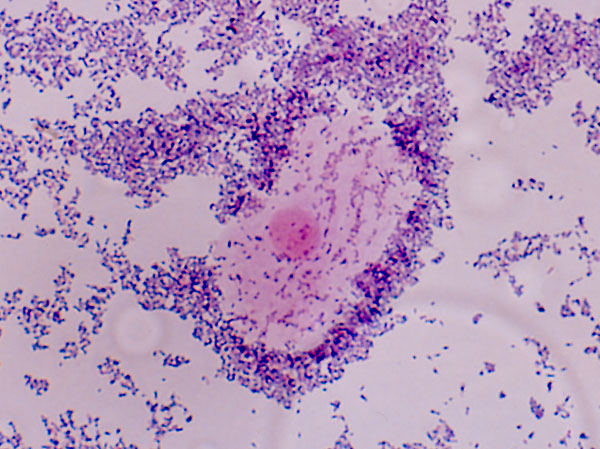
Gardnerella vaginalis, vaginal smear, gram stain
Click picture to enlarge. Close window to return

The diagnosis of bacterial vaginosis is usually made clinically, by finding of a watery discharge. Wet mounts may show Trichomonas, but if negative, a Gram stain should be done to rule out Gardnerella. The normal vaginal flora should have predominantly Lactobacilli. If these large Gram positive rods are not present, then a search should be made for "clue cells", sloughed epithelial cells coated with Gram-variable pleomorphic cocco-bacilli. This is sufficient evidence to diagnose infection with Garderella vaginalis. Culture is not necessary.