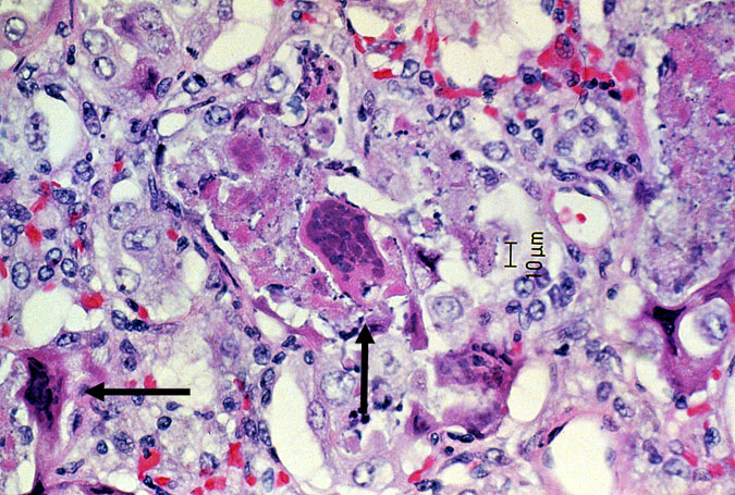
RSV
Click picture to enlarge. Close window to return

The RSV inclusions appear within the nuclei of the syncytial cells. In situ DNA hybridization can be used to differentiate RSV inclusions from the very similar measles giant cells. Often, the two diseases can be differentiated clinically.Several syncytial cells may be seen in this high power field from of lung tissue (arrows).