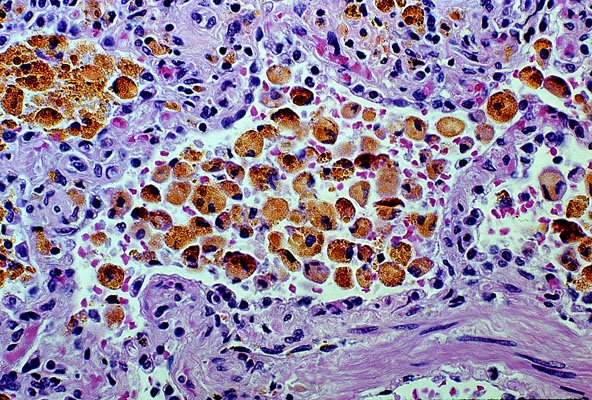
Passive hyperemia, lung, H/E, x100
Click picture to enlarge. Close window to return

After long-standing left-sided heart failure, the congested capillaries may rupture, and RBCs will spill into the alveolar space. These RBCs are phagocytosed by alveolar macrophages, which break down the hemoglobin to form brown hemosiderin pigment. This process is seen so often in patients with congestive heart failure that pathologists call these hemosiderin-laden macrophages "heart failure cells". Congestive heart failure is actually a clinical term. The pathologic diagnosis for a lung like this one would be chronic passive congestion.