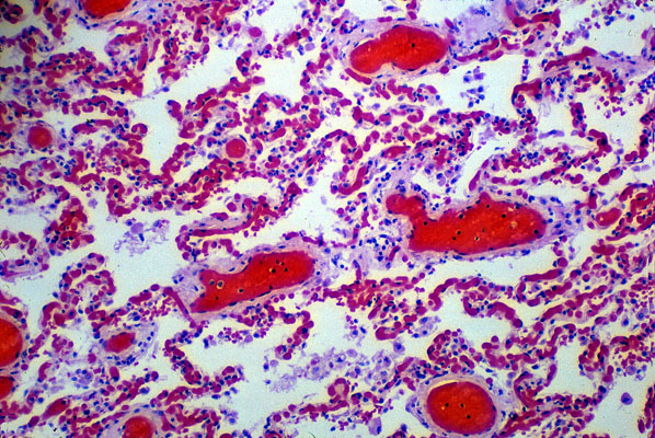
Passive hyperemia, lung, photomicrograph
Click picture to enlarge. Close window to return

Like the capillaries in the glomerulus, the capillaries in the alveolar septae normally contain RBCs in single file only. In this photomicrograph we can see the congested alveolar septae.