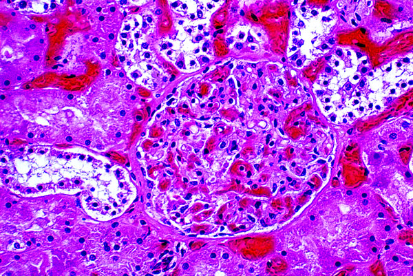
Passive hyperemia, kidney, photomicrograph, H/E x 25
Click picture to enlarge. Close window to return
Note the engorged vessels and hyperemic glomeruli. Normally, one sees only a few RBCs in the capilllary loops of the
glomerulus
.