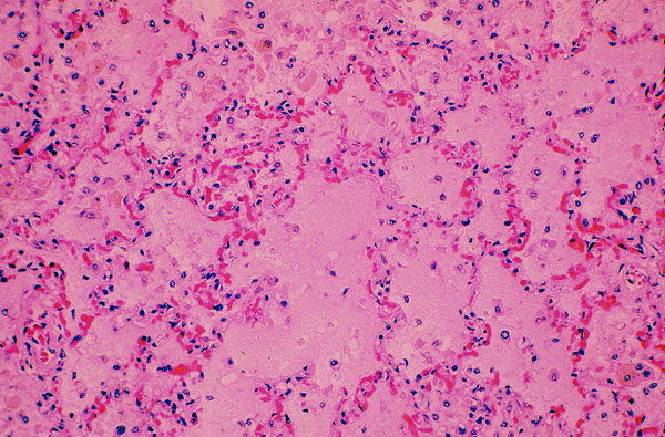
Edema, lung, photomicrograph
Click picture to enlarge. Close window to return

Pulmonary edema results in the alveoli becoming filled with a transudate of plasma. This fluid is an ideal culture medium, and unless quickly treated, the patient may develop so-called hypostatic pneumonia.