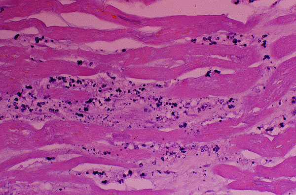
Myocardial infarct, photomicrograph, H/E, x25
Click picture to enlarge. Close window to return

This photomicrograph is from a myocardial infarct that is several days old. Contraction bands are seen, along with macrophages and nuclear debris from polymorphonuclear leukocytes.