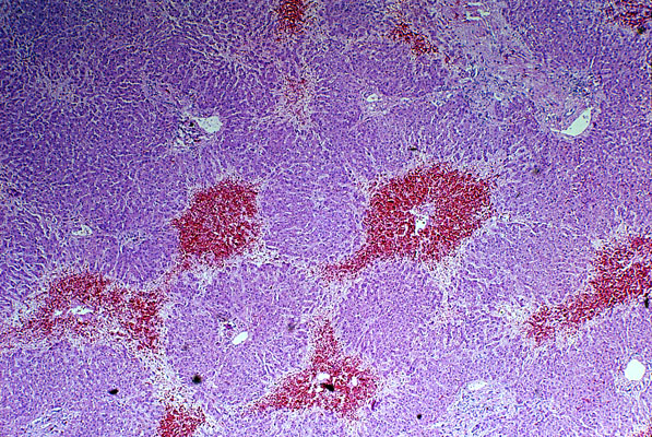
Passive hyperemia, photomicrograph, H/E x10
Click picture to enlarge. Close window to return

Microscopically, one seens congestion (hyperemia) centered on the central veins. Otherwise, the architecture of the liver is preserved. Longstanding passive congestion can cause fibrosis of the central vein.