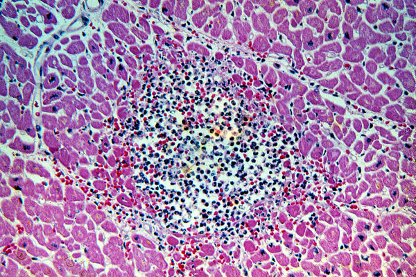
Septic embolus, heart, microabscess, Candida albicans
Click picture to enlarge. Close window to return

This patient had a prosthetic aortic valve that was infected with the common yeast, Candida albicans. A portion of the vegetation embolized from the valve into the coronary artery, and a microabscess within the myocardium was the result.