Muscular dystrophy
Click picture to enlarge. Close window to return

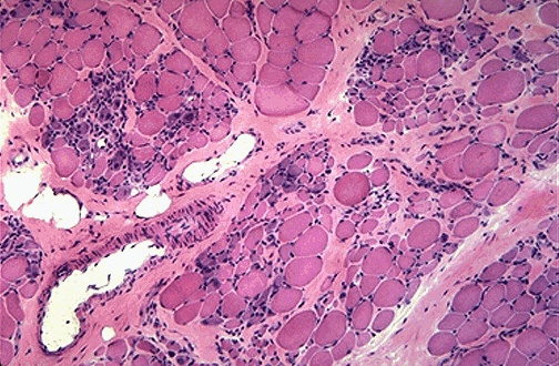
Degeneration of muscle fibers with fibrosis and mild chronic inflammation in Duchenne Musclular Dystropy. Many of the remaining muscle fibers are hypertrophied.