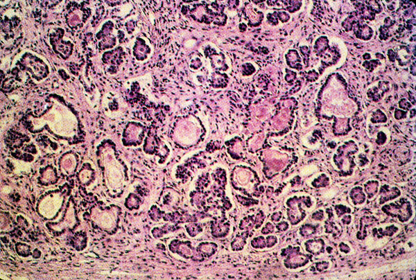
Cystic fibrosis
Click picture to enlarge. Close window to return

This is the pancreas of a patient with cystic fibrosis. The pancreatic ducts are dilated and plugged with eosinophilic mucin, and the parenchymal glands are atrophic and replaced by fibrous tissue (progressive fibrosis).