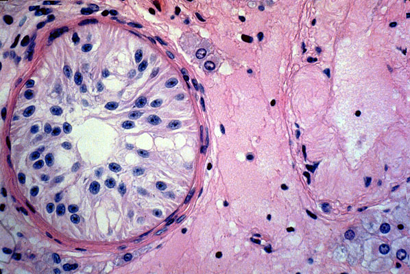
Klinefelter syndrome
Click picture to enlarge. Close window to return

Several patterns of morphologic changes associated with reduced spermatogenesis can be observed in testes of Klinefelter patients. Tubules (left) may be present, but lack spermatids and spermatozoa. Atrophic and hyalinized tubules are present in the middle and right portion of the slide.