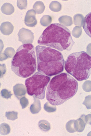
Acute myelogenous leukemia (AML), peripheral blood
Click picture to enlarge. Close window to return

These are promyelocytic blasts (note Auer rods, cytoplasmic granules, and convoluted nuclei typical of promyelocytes). Acute leukemias have large numbers of circulating blasts, whereas chronic leukemias have more mature elements.