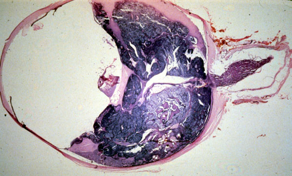
Retinoblastoma
Click picture to enlarge. Close window to return

The tumor which is composed of "small blue cells", i.e., undifferentiated neoplastic cells that have prominent nuclei and very little cytoplasm fill the posterior part of the eye.