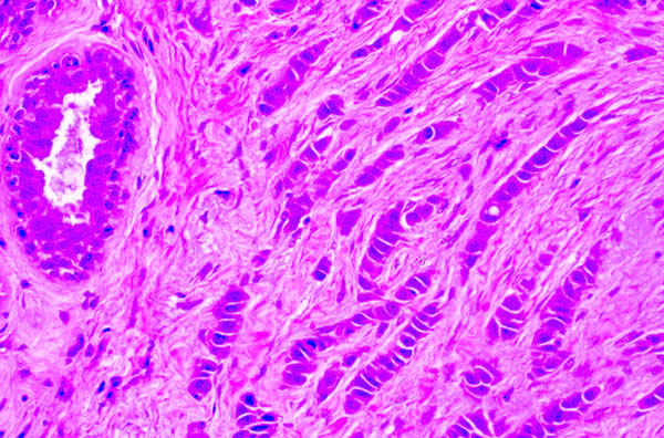
Infiltrating lobular carcinoma of the breast
Click picture to enlarge. Close window to return

The tumor cells are arranged into single cell files which are surrounded by prominent connective tissue.