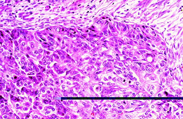
Adenocarcinoma of the uterus, grade 3
Click picture to enlarge. Close window to return

The tumor cells are composed of solid masses of cells. Within these nests one can barely recognize the outlines of the glands.