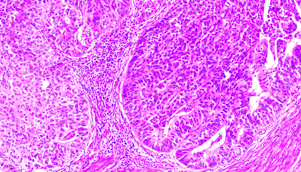
Adenocarcinoma of the uterus, grade 2
Click picture to enlarge. Close window to return

The tumors are composed of cells that form solid nests and only occasionally some glands.