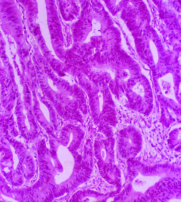
Adenocarcinoma of the uterus, grade 1
Click picture to enlarge. Close window to return

The tumor is composed of well-developed glands that are very similar to normal endometrial glands.