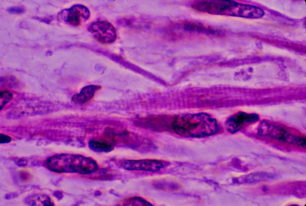
Rhabdomyosarcoma
Click picture to enlarge. Close window to return

The tumor is composed of elongated cells that have irregularly shaped nuclei and cytoplasm that shows cross-striations, characteristic of skeletal muscle.