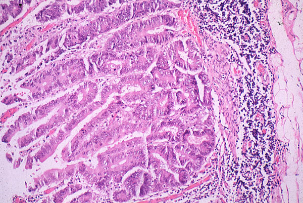
Adenocarcinoma of the colon, micro
Click picture to enlarge. Close window to return

The tumor is composed of irregularly shaped atypical glands.