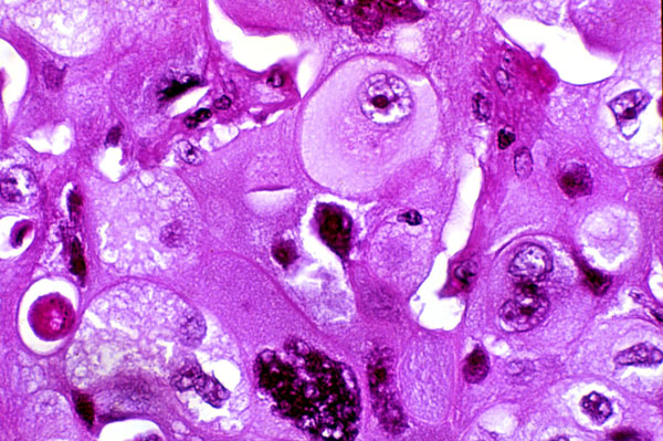
Carcinoma, undifferentiated
Click picture to enlarge. Close window to return

Anaplasia, or lack of differentiation, marked by pleomorphic cells and nuclei (I.e., variation in size and shape). Characteristically the nuclei contain an abundance of DNA and are hyperchromatic (dark-staining). High nuclear:cytoplasmic ratio and large nucleoli are usually present.