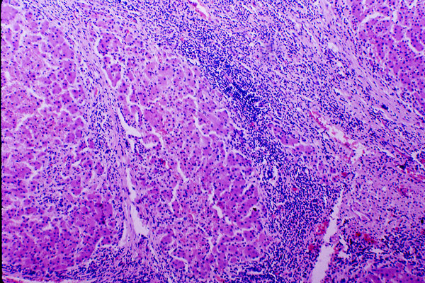
Chronic active hepatitis, photomicrograph, H/E x25
Click picture to enlarge. Close window to return

Numerous dark blue chronic inflammatory cells, mainly lymphocytes, can be seen within broad areas of fibrosis. Small islands of hepatocytes are gradually carved away from their neighbors by the process of "piecemeal necrosis". This process occurs over a period of many months, until end-stage liver disease is reached. Transplantation is one of the only options, but one risks infecting the new liver with the hepatitis virus. Interferon administration can sometimes help to clear the virus and stop the process of piecemeal necrosis.