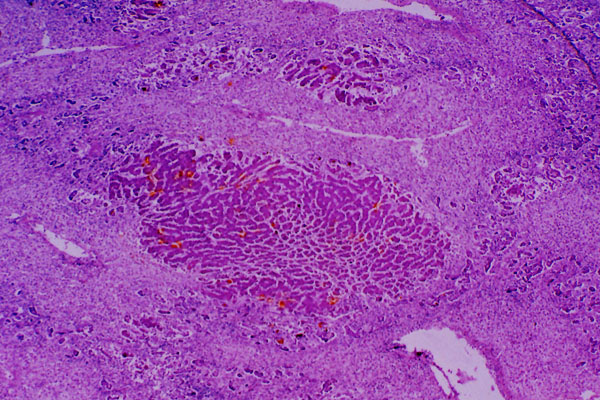
Chronic active hepatitis, photomicrograph, H/E x10
Click picture to enlarge. Close window to return

This scanning power photomicrograph shows the massive destruction that occurs with chronic active hepatitis due to hepatitis B or C virus. Most of the slide consists of areas of fibrosis, with a few remnants of viable hepatocytes.