Brain, ependymoma, micro
Click picture to enlarge. Close window to return
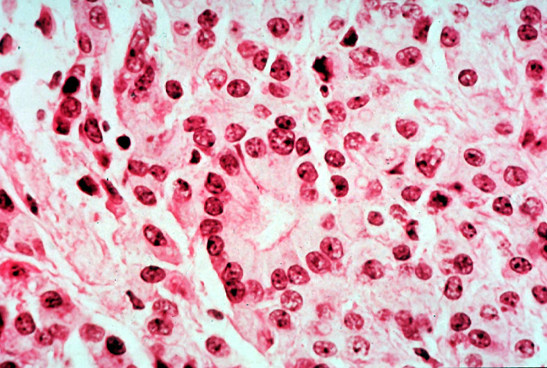
Ependymoma
, microscopic view: ependymal canaliculi are seen as well as perivascular arrangement of
tumor
cells. H&E