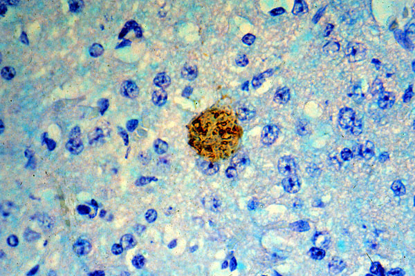
Brain, toxoplasmosis, tissue cyst, immunoperoxidase
Click picture to enlarge. Close window to return

Toxoplasma gondii tissue cyst, immunoperoxidase stain.