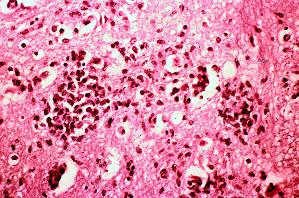
Brain, viral encephalitis, micro, microglial nodules
Click picture to enlarge. Close window to return

Same case. San Louis E. Microglial nodules (small glial scars left by the virus).