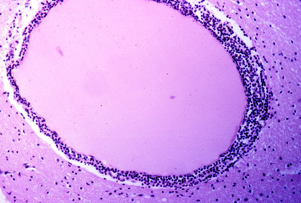
Brain, viral encephalitis, micro, high power
Click picture to enlarge. Close window to return

Same case, Perivascular lymphocytic infiltrates.