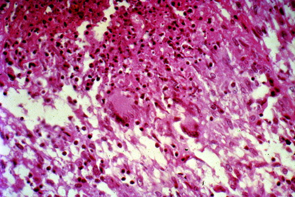
Tuberculous meningitis
Click picture to enlarge. Close window to return
Microscopic view of tuberculous meningitis: lymphocytes, epithelioid cells, Langhans
giant cell
.