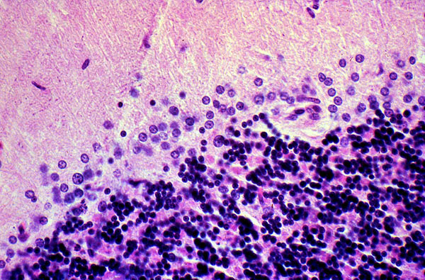
Cerebellum, anoxic necrosis, chronic, micro
Click picture to enlarge. Close window to return

Another patient who died 2 months after an episode of cardiac arrest. The entire layer of Purkinje cells is missing, having been replaced by proliferated astrocytes ("Bergmann glia"). H&E. Compare to previous slide, where necrotic "red neurons" were seen just above the granular layer.