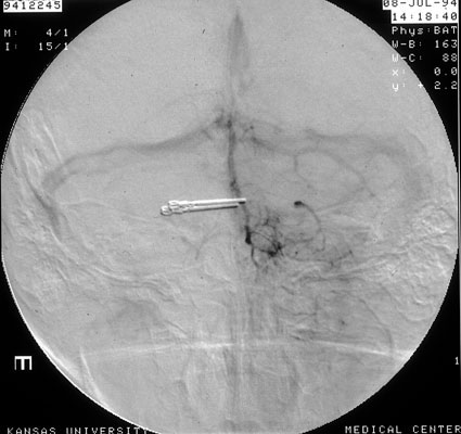
Arteriogram, berry aneurysm, post surgery
Click picture to enlarge. Close window to return

Same patient: postoperative arteriogram shows metal clamp applied during surgery, but aneurysm is no longer visible (this is digital subtraction angiography, which give a 3D effect. Everything is digitally subtracted from the image except the vessels of interest).