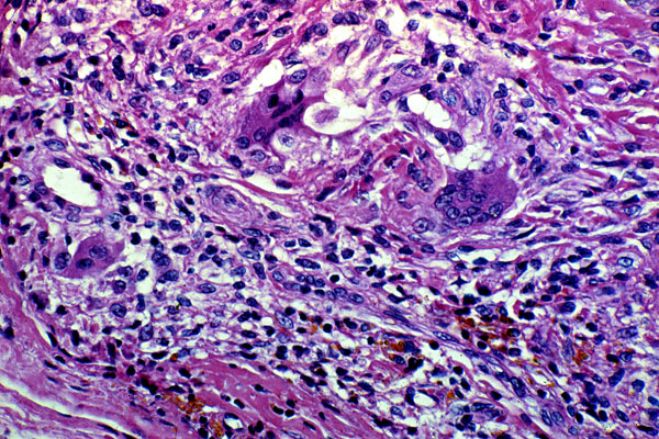
Giant cell tumor of tendon sheath, micro
Click picture to enlarge. Close window to return

Microscopically, there are giant cells surrounded by a benign appearing stroma of fibroblasts and histiocytes.