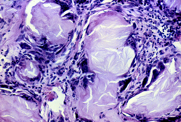
Gout, micro, urate crystals
Click picture to enlarge. Close window to return
Radial clusters of acellular monosodium urate crystals eliciting a foreign body reaction, in
gout
, micro.