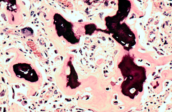
Osteosarcoma, micro, atypical osteoblasts
Click picture to enlarge. Close window to return

Microscopically, the osteosarcoma is comprised mostly of atypical osteoblastic cells secreting irregular seams of partially mineralized osteoid matrix.