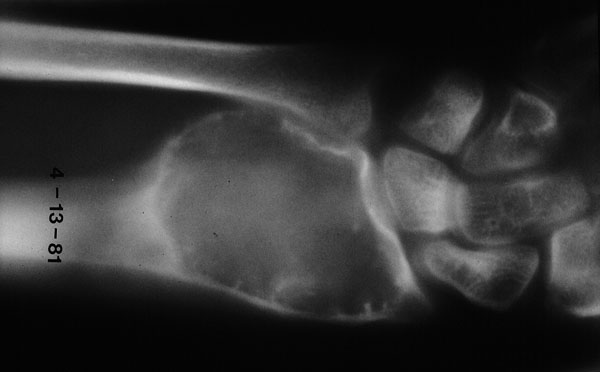
Giant cell tumor of bone
Click picture to enlarge. Close window to return
Giant cell
tumor
of bone in the distal radius of a 38 year old female. X-ray shows an expansile, radiolucent lesion arising in the
epiphysis
.